
- Non-degradable, lasting function
- Remarkably inert and biocompatible
- Very pliable and mouldable with good adaptation
- No need for pin/screw fixation – immobilized by replaced soft tissue flap
- Non-space occupying – facilitates would closure
- Primary would closure not necessary
- A good dressing for raw bone surfaces
- No risks of disease transmission
- Radiolucent – enables monitoring of bone regeneration with x-ray
- Excellent would healing underneath
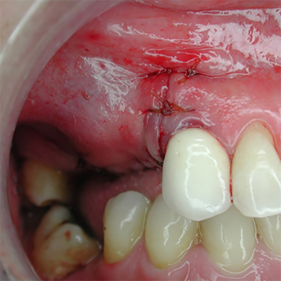
Pure titanium membrane of ultra-thin thickness of about 10 microns (0.01mm). Totally inert, biocompatible and non-biological thus removing the fear of disease transmission from collagen of bovine source. It allows ease of handling and adaptation over the operative site. Because of its mouldability, it does not require pin or screw fixation, thus avoiding the risks of pin or screw swallowing or aspiration. Excellent clinical performance in guided tissue regeneration. Resistance to infection after exposure. Primary wound closure is not necessary. No tissue reaction or wound infection.
For further information, please open this link and download the PowerPoint:
https://drive.google.com/file/d/1VP5c5sP7YJjn0LXb3EOfN0KFfTGu7I1Y/view?usp=sharing









